دراسة: الحقن العضلي لمنع الحمل يهدد النساء بمرض خطير في المخ

أورام المخ
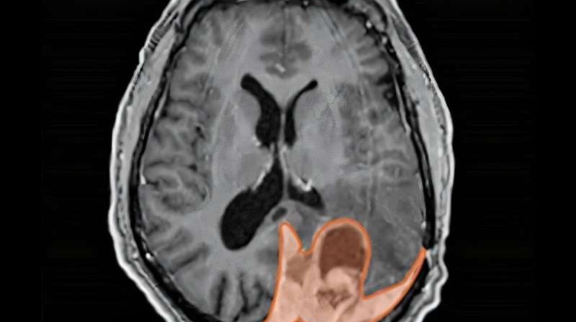
تستخدم نساء كثيرات وسائل منع الحمل عن طريق الحقن العضلي، ولكن قد لا يدرك بعضهن ارتباط هذه الحقن بأورام المخ مثل الورم السحائي، وهو ما تشير إليه أبحاث علمية حديثة.
وبحث الطبيب ديفيد رالي الحاصل على درجة الدكتوراه، أخصائي الأورام الإشعاعية، حول الآليات البيولوجية التي تُغذي نمو السرطان السحائي بالمخ، واهتمت أبحاثه بفهم العلاقة بين الورم السحائي والبروجيستيرون الاصطناعي "MPA" المُستخدم في وسائل منع الحمل عن طريق الحقن، بحسب موقع "مديكال إكسبريس".

علاقة وسائل منع الحمل عن طريق الحقن العضلي بالورم السحائي
ووجد الباحثون في دراسة فرنسية أجريت عام 2024، أن النساء اللاتي استخدمن وسائل منع الحمل عن طريق الحقن العضلي لمدة عام واحد على الأقل كان لديهن خطر متزايد بنسبة خمسة أضعاف للإصابة بالورم السحائي مقارنة بمن لم يستخدمن هذه الوسائل.
كيف تزيد وسائل منع الحمل عن طريق الحقن خطر الإصابة بالورم السحائي؟
يُعد الورم السحائي أحد أنواع أورام الدماغ القليلة الأكثر شيوعًا لدى النساء عن الرجال، أي أكثر شيوعًا بحوالي مرتين إلى أربع مرات.
ووفقًا للأبحاث، فإن الحمل قد يُسرع نمو الورم السحائي، وهذا النمط نفسه يُلاحظ لدى النساء اللواتي استخدمن العلاج الهرموني بعد انقطاع الطمث، وأيضًا لدى النساء اللواتي استخدمن وسائل منع الحمل عن طريق الحقن العضلي، يمكن أن يتراجع الورم السحائي بعد الولادة وبعد التوقف عن العلاج الهرموني، وتشير البيانات السريرية والوبائية بالتأكيد إلى وجود ارتباط ميكانيكي بين هذه النتائج.
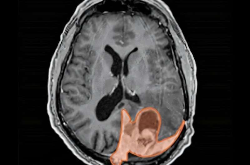
ما مدى خطورة الورم السحائي؟
عادةً ما يكون ورم الدماغ خطيرًا، لكن هناك درجات مختلفة منه، تعد حوالي 65% إلى 70% من الأورام السحائية هي أورام من الدرجة الأولى ذات الخطورة العالية، وتُعتبر هذه الأورام غير خبيثة، وعادةً ما تُزال جراحيًا أو تُعالج بالعلاج الإشعاعي، وإذا بقي ورم، يُمكن علاجه أيضًا بالعلاج الإشعاعي. يبقى ما يصل إلى 95% من مرضى الدرجة الأولى على قيد الحياة بعد خمس سنوات، حسب العمر وحجم الورم المُزال.
اقرأ أيضًا:
دراسة: لا صلة بين استخدام الهواتف وزيادة الإصابة بسرطان المخ

الأكثر قراءة
-
كواليس استيلاء رجل أعمال شهير على مليار جنيه للتلاعب في البورصة
-
من "BBC" لـ"اسبيكو".. شقيقة ضحية السلام: "خطفوه بتوكتوك ورموه من الخامس"
-
حقيقة فيديو إنقاذ صغير سقط من شرفة منزله.. هل المقطع AI؟
-
ظهور مثير للجدل، حلقة عزة سعيد تضع إدوارد في مرمى الانتقادات
-
بعد تصدرها الترند، من هي الفنانة عزة سعيد؟
-
قرار عاجل من محافظ أسيوط بعد وفاة 5 أطفال وإصابة 6 آخرين في "منقباد"
-
مالك فضائية "الحدث اليوم" محمد إسماعيل يترشح لـ"النواب" مستقلا
-
سأضغط على "فيفا".. ترامب يهدد بنقل مباريات كأس العالم 2026

أخبار ذات صلة
حقيقة فيديو إنقاذ صغير سقط من شرفة منزله.. هل المقطع AI؟
16 أكتوبر 2025 07:40 ص
ضحية نصاب الدقي يروي تفاصيل الاحتيال عليه في 38 ألف جنيه
16 أكتوبر 2025 07:20 ص
أول تعليق من ندى طالبة غزة بعد نجاحها بالثانوية العامة: فقدت عائلتي في الحرب
16 أكتوبر 2025 03:20 ص
مهرجان الجونة 2025 يعيد أغرب إطلالات النجمات لصدارة المشهد
15 أكتوبر 2025 08:26 م
نموذج ملهم، "ريتاج" فلسطينية نجحت في الثانوية العامة رغم الحرب (خاص)
15 أكتوبر 2025 09:07 م
زواج في سن 14، طفل جزائري يثير الجدل ببدلة عرس (فيديو)
15 أكتوبر 2025 06:11 م
حقيقة إلقاء مشجعي الإمارات آيفون ومفاتيح بعد الهزيمة أمام قطر
15 أكتوبر 2025 11:26 ص
برج العذراء حظك اليوم الأربعاء 15-10.. انس الماضي وابتعد عن الطعام الدسم
15 أكتوبر 2025 04:20 ص
أكثر الكلمات انتشاراً