بسبب وشم الحواجب.. سيدة تواجه مرضاً مناعياً غامضاً يربك الأطباء
سيدة تواجه مرضاً مناعياً بسبب المايكروبليدنج
بعد نحو 15 شهرًا من خضوع امرأة تبلغ من العمر 46 عامًا لإجراء وشم الحواجب “المايكروبليدنج”، بدأت معاناتها من ظهور بقع أرجوانية حول منطقة الحاجبين، ولم تتوقف الأعراض عند هذا الحد، بل امتدت لاحقًا إلى مناطق أخرى من الجسم لم تتعرض للوشم، مثل الكوع وأعلى الظهر، ما أثار قلق الأطباء ودفعهم لإجراء فحوصات دقيقة.
المايكروبليدنج يسبب مرض الساركويد
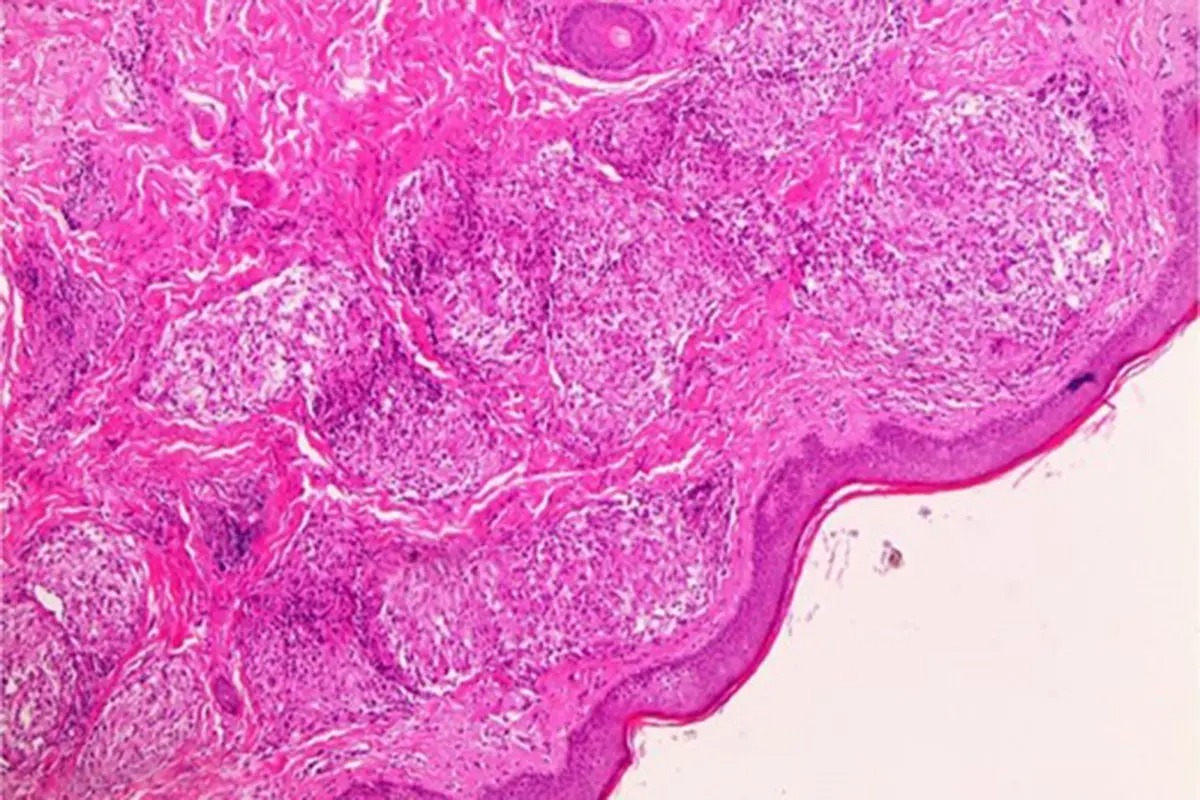
ووفقًا لتقرير طبي نشرته جامعة أكسفورد، كشفت الخزعة عن وجود أورام حبيبية ملتهبة، أو تجمعات غير سرطانية من خلايا الدم البيضاء.
وبحسب نيويورك بوست، فهي إحدى العلامات الدالة على مرض الساركويد، وهو مرض يظهر في كثير من الأحيان في الرئتين أو الغدد الليمفاوية، ولكنه يمكن أن يسبب في ربع الحالات تقريبًا نوبات على الجلد.

ما خطورة الإصابة بمرض الساركويد؟
ويمكن أن يؤثر أيضاً على المفاصل وأجزاء من الجهاز العصبي، وفي حالات نادرة وخطيرة، على القلب، وفي حين أن السبب البيولوجي المباشر لمرض الساركويد غير واضح، إلا أنه غالباً ما يرتبط باستجابة مناعية ناتجة عن وجود محفزات غريبة، مثل حبر الوشم.
سيدة تواجه مرضاً مناعياً بسبب المايكروبليدنج
وبعد أن أظهر العلاج الموضعي الأولي تحسناً طفيفاً لدى المرأة البالغة من العمر 46 عاماً، وصف الأطباء علاجاً بالكورتيكوستيرويدات يُعرف باسم بريدنيزولون، وكان العلاج ناجحاً معها، وذكر التقرير أنه لوحظ حدوث بعض التحسن الملحوظ في غضون أسبوع واحد في جميع المناطق المتضررة لدى السيدة، مع تقليل جرعة البريدنيزولون أسبوعياً حتى اختفت النوبات الظاهرة.

أضرار صبغة الوشم على الجسم؟
كما لوحظت ردود فعل مماثلة تجاه وشم الحواجب لدى مرضى آخرين، وأبرزها في عام 2011 عندما وصف تقرير تفشي مرض الساركويد في سويسرا الذي أصاب 12 مريضًا تم وشمهم من قبل نفس الشخص.
ولا يقتصر الأمر على المكياج الدائم فقط الذي يثير التساؤلات، فبينما لا تزال الدراسات جارية حول الآثار طويلة المدى لحبر الوشم على بيولوجيا الإنسان، كما أنه من المعروف أن الوشم من أي نوع قد يُثير استجابات مناعية سلبية.
حبر الوشم
ويرجع جزء كبير من ذلك إلى ما يحتويه حبر الوشم، والذي يحتوي بعضه على كميات ضئيلة من المعادن الثقيلة مثل النيكل والكروم والكوبالت والرصاص، وفقًا لموقعScience Alert .
ويمكن لتلك المعادن الثقيلة أن تكون سامة عند وجودها بكميات كبيرة في الوشم، كما أنها من مسببات الحساسية المعروفة، حتى بجرعات صغيرة، ولكي تصبح الوشوم دائمة، فإنها تتطلب في الواقع استجابة مناعية لحبس جزيئات الحبر داخل خلايا الجلد.
مهاجمة الجسم الوشم
وعند حقن الحبر تحت سطح الجلد، يتعامل الجسم مع جزيئات الصبغة كأجسام غريبة، فيُطلق خلايا مناعية لإزالتها، أما جزيئات الصبغة الكبيرة التي يصعب التخلص منها فتبقى على شكل وشم.
اقرأ أيضًا:
غضب روسي من تحديات "تيك توك"، وشم رضيع طمعًا في جائزة يثير الجدل
الأكثر قراءة
-
9430 فرصة عمل في 13 محافظة.. التفاصيل وطرق التقديم
-
سعر صرف الريال السعودي اليوم الأربعاء 15 أبريل 2026.. كم سجل؟
-
المزارعون الأمريكيون يتلقون ضربة مزدوجة مع ارتفاع أسعار الأسمدة والديزل
-
القبض على البلوجر البيج ياسمين في الهرم بتهمة نشر محتوى غير أخلاقي
-
تصل إلى 100 مليار دولار.. البنك الدولي يكشف خطة تمويل الدول المتضررة من حرب إيران
-
سعر الدولار في مصر اليوم الأربعاء 15 أبريل 2026
-
علشان "لقمة عيش" حلال.. حكايات "تبكي الحجر" لضحايا حريق مخزن الزاوية الحمراء (خاص)
-
بين آمال السلام وتوترات "هرمز".. تراجع الذهب وتباين أسعار النفط في تعاملات الأربعاء
أخبار ذات صلة
فرصة لن تتكرر.. عرض سُترة نجاة إحدى راكبات "تيتانيك" للبيع بمزاد علني
15 أبريل 2026 10:38 م
بين صدمة المرض وانعدام الأمل.. ابنة "الزوزات" تفتح جراح أهالي ذوي الحالات النادرة (خاص)
15 أبريل 2026 04:36 م
براتب خيالي.. أمريكا تستعين بـ"الجيمرز" لشغل وظائف مراقبي الطيران
15 أبريل 2026 09:15 م
"يعني هما دول اللي هيجيبوا التايه؟".. قصة أب لم يصدق عودة نجله بعد غياب 16 عاما
15 أبريل 2026 11:22 ص
في هذا التاريخ.. عدد سكان الأرض يصل الحد الأقصى والعالم يتجاوز طاقته
15 أبريل 2026 06:25 ص
جاء من السعودية بالدراجة.. تفاصيل استقبال أهالي الغربية للرحالة محمد المصري (فيديو)
15 أبريل 2026 01:09 ص
مصابة بطيف التوحد.. إسراء طالبة قادها حنين الدراسة إلى قائمة المفقودين (خاص)
14 أبريل 2026 04:39 م
حتى لا يحضر الاجتماعات المملة.. مارك زوكربيرج يعمل على بناء نسخة ذكاء اصطناعي منه
14 أبريل 2026 02:07 م
أكثر الكلمات انتشاراً