الأطباء شخصوها بـ مشاكل نسائية، فتاة تفقد 70% من معدتها بسبب سرطان نادر
السيدة بيلا بايليس
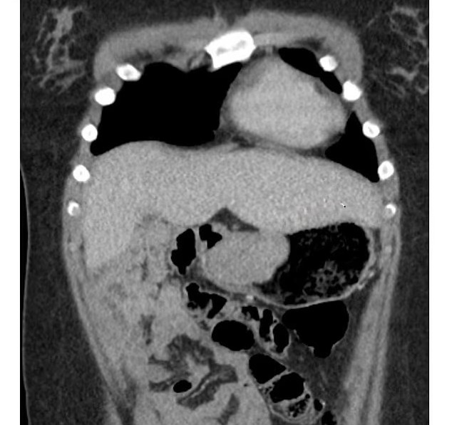
بعد أشهر من تجاهل شكواها الطبية، تم تشخيص شابة تبلغ من العمر 25 عامًا بسرطان نادر، انتهى باستئصال 70% من معدتها، بسبب تقليل الأطباء من خطورة الأعراض التي تعاني منها، وفقا لصحيفة ديلي ميل البريطانية.
توجهت بيلا بايليس، للمرة الأولى إلى قسم الطوارئ، وهي تعاني من آلام حادة في البطن، وضيق في التنفس، وانتفاخ شديد، إلى جانب فقر دم حاد، إلا أن الأطباء أعادوها إلى المنزل مرجحين أن ما تعانيه “مشاكل نسائية”.
أعراض سرطان خفي
وقالت بيلا، إنها كانت تعاني من إرهاق شديد وضيق في التنفس حتى مع أبسط الأنشطة، وكانت شاحبة وتعاني من آلام مستمرة في المعدة، ومع استمرار الأعراض، فقدت شهيتها تمامًا، وبدأت تشعر بتنميل في يديها وساقيها، واعتقدت في البداية أن ضغط العمل هو السبب، لكنها لم تقتنع بتشخيص الأطباء، وعادت إلى المستشفى مرة أخرى للمطالبة بإجراء فحوصات دقيقة.

ورم لحمي معدي معوي
وخلال إجراء منظار للجهاز الهضمي، اكتشف الأطباء أنها مصابة بورم معوي يبلغ حجمه 6 سم داخل معدتها، وهو نوع نادر من السرطان.
أكد الأطباء أن الورم ناتج عن ساركوما، وهو نوع من السرطان يبدأ في العظام أو الأنسجة الرخوة، ويتطور في الجهاز الهضمي ولا يستجيب عادة للعلاج الكيميائي التقليدي.

استئصال 70% من المعدة لإنقاذ حياتها
واضطر الجراحون إلى استئصال 70% من معدتها لإنقاذ حياتها، وهو ما تعتقد بيلا أنه كان يمكن تفاديه، لو تم تشخيص حالتها في وقت مبكر، وقالت: “لو تم الاستماع لي منذ البداية، لما كبر الورم إلى هذا الحد، ولما فقدت هذا الجزء الكبير من معدتي”.
فحص روتيني عن عودة السرطان
وعلى الرغم من نجاح الجراحة، تغيرت حياة بيلا بشكل جذري، إذ لم تعد قادرة على تناول كميات كبيرة من الطعام، وأصبحت تكتفي بوجبات صغيرة، كما أثرت الندبة الجراحية الكبيرة على ثقتها بنفسها، قبل أن تتحول لاحقًا إلى رمز صمود بالنسبة لها، لكن الصدمة الأكبر جاءت حين قامت بكشف فحص روتيني عن عودة السرطان وظهور ورمين جديدين في الكبد.
وقالت:"شعرت بالصدمة لأن بعد خمس سنوات اعتقد أن هذا جزء من حياتي لقد صدمت كثيراً، أنا وأمي وأبي كنا محطمين هذه المرة كان الأمر مختلفاً تماما".
اقرأ أيضا:
سيدة تكتشف إصابة توأمها بالسرطان بعد رؤية صورة لهما
سر في 10 دقائق، كيف تتجنب الإصابة بأخطر أنواع السرطان؟
الأكثر قراءة
-
بعد مهاجمة والدها.. من هي بثينة ابنة الفنان علي الحجار؟
-
سعر الدولار في مصر اليوم 18 أبريل 2026.. أقل من 52 جنيهًا
-
مصادر: تطبيق نظام تسعير جديد على جميع العدادات الكودية باستثناء هذا النوع
-
موعد صرف مرتبات شهر أبريل 2026.. اعرف هتقبض كام بعد الزيادة
-
انخفاض 9% في أسعار النفط بعد إعلان إيران فتح مضيق هرمز
-
وزير الاستثمار: طرح شركتي بنك القاهرة ومصر لتأمينات الحياة في يونيو 2026
-
استقرار أسعار الدواجن رغم ارتفاع الأعلاف.. هل تفاجئ جيب المواطن قبل العيد؟
-
عودة 3 مليارات دولار.. لماذا يتهافت الأجانب على أدوات الدين المصرية؟
أخبار ذات صلة
"تشكيك وفضول".. ماذا يفعل الأشخاص ذوو القدرات العقلية العالية يوميًا؟
19 أبريل 2026 03:51 ص
تهديد لمستقبل العمالة البشرية.. هنود يدربون الـAI على أسرار الوظائف
18 أبريل 2026 07:25 م
25 رهينة وسرقة في وضح النهار.. كيف فرت عصابة نابولي من تحت أقدام الشرطة؟
18 أبريل 2026 04:22 م
"ما زال ضائعًا"، حلم إسلام يتحول إلى كابوس: قرأت تحليل الـDNA غلط.. وانسوني
18 أبريل 2026 10:23 ص
على خطى "بانش".. القرد "يوجي" يرتمي في أحضان دمية بعد أن رفضته أمه
18 أبريل 2026 03:01 م
"نبحث عن السبب".. أول تعليق من أسرة الطفل آدم المتوفى بإيطاليا (خاص)
18 أبريل 2026 01:46 م
حارس أمن هندي يثير الجدل بتصرف غريب لمواجهة الناموس الليلي (فيديو)
18 أبريل 2026 12:50 م
اليابان تستحدث مصطلحًا جديدًا لموجات الحر فوق 40 درجة
18 أبريل 2026 05:48 ص
أكثر الكلمات انتشاراً