رصاصة اخترقت رأسه ووصلت لقلبه، أطباء جامعة الإسكندرية ينقذون حياة فلسطيني
العملية
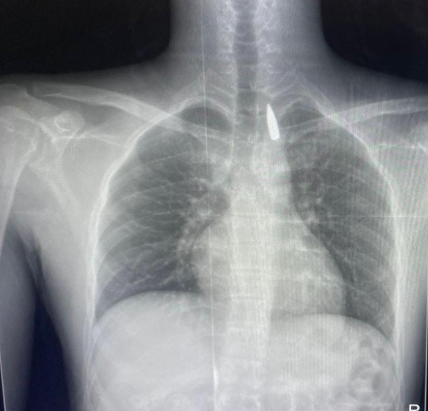
نجح فريق طبي متخصص بمستشفيات جامعة الإسكندرية، في تحقيق إنجاز طبي فريد ونادر، عبر إجراء عملية دقيقة ومعقدة لاستخراج مقذوف من صدر مريض فلسطيني.
إنجاز يعكس المكانة الطبية والعلمية لجامعة اللإسكندرية
وأعرب الدكتور عبد العزيز قنصوة، رئيس الجامعة، عن فخره بهذا النجاح الذي يجسد الكفاءة العالية للفريق الطبي بالمستشفيات الجامعية، مؤكدًا أن الجامعة تولي اهتمامًا بالغًا بدعم القضايا الإنسانية وبتقديم الرعاية الصحية المتكاملة للأشقاء العرب، تنفيذًا لتوجيهات القيادة، في مساندة المصابين من قطاع غزة وتوفير أفضل سبل العلاج لهم داخل المستشفيات الجامعية.
وأشار إلى أن هذا الإنجاز يعكس المكانة الطبية والعلمية المتميزة لجامعة الإسكندرية، وقدرتها على التعامل مع العمليات المعقدة والحالات الدقيقة وفق أعلى معايير الجودة والرعاية الصحية.

رصاصة تخترق الرأس وتسكن داخل القفص الصدري
وأوضح الدكتور تامر عبد الله، عميد كلية الطب ورئيس مجلس إدارة المستشفيات الجامعية، أنه في يوم 21 أكتوبر 2025، تمكن فريق من أطباء قسم جراحة القلب والصدر والتخدير والمعاونين من إجراء جراحة دقيقة بالغة الخطورة لأحد المرضى المحجوزين من قطاع غزة، والذي كان قد تعرض لإصابة بطلق ناري في الرأس منذ فترة، استقر المقذوف على إثرها داخل تجويف القفص الصدري قرب الشريان الأورطي، وهو أكبر وأهم شرايين الجسم والمسؤول عن تغذية جميع الأعضاء الحيوية، وأضاف أن الفريق الطبي، رغم دقة الحالة وتعقيدها، نجح في استخراج المقذوف بأمان بعد عملية جراحية نادرة استمرت عدة ساعات داخل المستشفى الجامعي الجديد، حيث خضع المريض بعدها للرعاية الطبية اللازمة، وحالته حاليًا مستقرة وتحت المتابعة الدقيقة من الفريق المختص.

إقراء ايضاً:
على طريقة "لبوسة أحمد حلمي"، ابتكار كبسولة مضيئة لعلاج مشاكل المعدة
أطباء يستأصلون كلية مسن سليمة بدلا من المصابة
خلال أسبوع.. تقديم 42 ألف خدمة طبية وإجراء 158 عملية جراحية بمطروح
الأكثر قراءة
-
من بيتك.. اعرف طرق وخطوات استخراج "الفيش والتشبيه" إلكترونيًا
-
ما هي العاصفة شيماء؟، التفاصيل الكاملة وحالة الطقس
-
طريقة التقديم على وحدات بديلة للإيجار القديم.. المستندات والشروط كاملة
-
الشهادة البلاتينية من البنك الأهلي.. ما هو عائد استثمار 300 ألف جنيه؟
-
بعد تراجعه 3 جنيهات.. سعر صرف الدولار مقابل الجنيه اليوم الجمعة
-
أسعار الذهب تتجه لتسجيل مكاسب للأسبوع الرابع.. كم وصل الجرام؟
-
انعدام الرؤية بسبب الأتربة.. الأرصاد تحذر من تقلبات جوية وأمطار رعدية
-
أسعار النفط تتراجع دون 100 دولار.. هل تواصل الانخفاض؟
أخبار ذات صلة
مسجد التوبة بدمنهور.. أقدم منارة إسلامية شاهدة على تاريخ يمتد لأكثر من 14 قرنًا
18 أبريل 2026 01:27 ص
المادة 17 من قانون العقوبات.. كلمة السر في تخفيف أحكام القتل بعد صلح الورثة
18 أبريل 2026 12:42 ص
عمرو أديب: مصر تحتاج معجزة مثل عهد مبارك بإعفاء جزء من الدين
17 أبريل 2026 11:33 م
خبير: نقل 400 كيلو يورانيوم مخصب من إيران غير قابل للتنفيذ عمليًا
17 أبريل 2026 11:31 م
العاصفة "شيماء" تقترب.. الأرصاد تكشف الحقيقة وتحذر من أمطار وأتربة
17 أبريل 2026 03:22 م
حزب الوفد: لم نتواصل مع "العدل".. ومشروع الأحوال الشخصية أعددناه منذ 2015
17 أبريل 2026 11:05 م
تدخل عاجل ينقذ حياة صغير من اختناق حاد بمستشفى بنها التخصصي
17 أبريل 2026 10:51 م
أديب: فتح "هرمز" لن يعيد الاستقرار سريعًا.. أسعار النفط الحقيقية تتجاوز المعلنة
17 أبريل 2026 10:25 م
أكثر الكلمات انتشاراً